Histoplasmosis and Ajellomyces (Histoplasma) capsulatum

  Histoplasma capsulatum and Ajellomyces casulatusin vitro
       
       
  Holoblastic macroconidia at 25°C   Hypha and tuberculate macroconidia   Yeast cells at 37°C  
             
           
  Typical older white mold colony at 25°C
Older = after many subcultures
         
             
   

(Back to top of page)

   

 

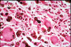
  H. capsulatum In tissue  
       
       
  In liver          
             
       
          mΦ with many yeast cells from acute pulmonary case  
             
           
  H + E; yeast cells in phagocyte yeast cell shrunk from cell wall looks like a capsule          
             
   

(Back to top of page)

   

 

  Histoplasmosis:   Residual lesions  
       
       
      Residual calcified lesions in lung   Lesions (calcified) in spleen from previous acute histoplasmosis (0.2-0.4 cm in diameter)  
             
   

(Back to top of page)

   

 

  Cutaneous lesions:  
       
       
  From dissemination   From dissemination   From dissemination  
             
           
  Primary lesion from lab accident          
             
   

(Back to top of page)

   

 

For questions, comments, or suggestions,
please send e-mail to:
sher-lu@mail.utexas.edu

The University of Texas at Austin